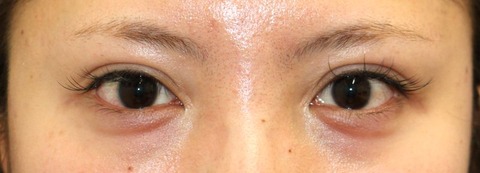
make upなしです。
他院で埋没法を受けていらっしゃいましたが
二重が浅いため、二重をくっきりさせたい
まつ毛の上にのる皮膚をすっきりさせたいと希望され
当院で全切開+上眼瞼脱脂術を行いました。
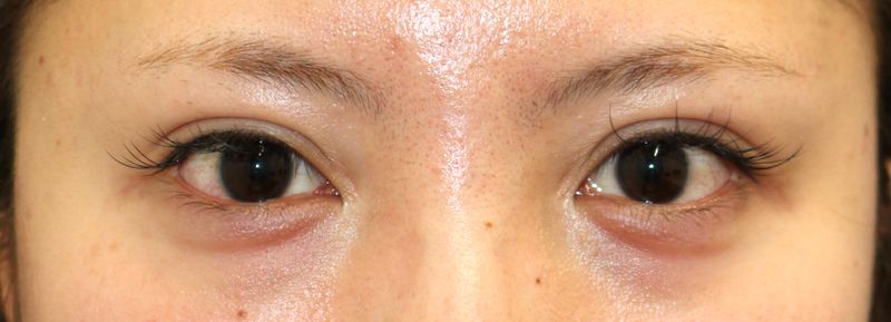
くっきりした二重が形成され、皮膚のたるみも解消されています。
まつ毛の上にのる皮膚のたるみがなくなり、まつ毛が上向きになることで
ぱっちりした目になりました。
切開のきずあともきれいです。
make upなしです。
他院で埋没法を受けていらっしゃいましたが
二重が浅いため、二重をくっきりさせたい
まつ毛の上にのる皮膚をすっきりさせたいと希望され
当院で全切開+上眼瞼脱脂術を行いました。
くっきりした二重が形成され、皮膚のたるみも解消されています。
まつ毛の上にのる皮膚のたるみがなくなり、まつ毛が上向きになることで
ぱっちりした目になりました。
切開のきずあともきれいです。
MEDICAL
CONTENTS
BLOG
MOVIE
GUIDE
RECRUIT





