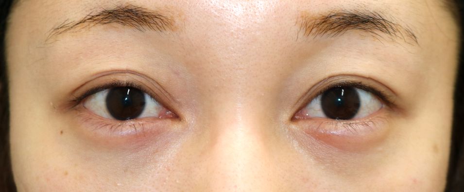
make upなしです。
程度はそれほど強くありませんが、目の下に眼窩脂肪によるふくらみ、くまがありました。
術後1週間でまだ軽度のむくみはありますが、
目の下がすっきりし、より若々しい印象になりました。
この眼窩脂肪のふくらみは、加齢とともに徐々に目立ってきますので
アンチエイジングにもとても良い手術です。
結膜側を切開しますので、皮膚に傷は残りません。
make upなしです。
程度はそれほど強くありませんが、目の下に眼窩脂肪によるふくらみ、くまがありました。
術後1週間でまだ軽度のむくみはありますが、
目の下がすっきりし、より若々しい印象になりました。
この眼窩脂肪のふくらみは、加齢とともに徐々に目立ってきますので
アンチエイジングにもとても良い手術です。
結膜側を切開しますので、皮膚に傷は残りません。
MEDICAL
CONTENTS
BLOG
MOVIE
GUIDE
RECRUIT





