
全切開+上眼瞼脱脂 術後2か月の経過写真です。
make upなしです。
平行型の二重を希望され
当院で全切開+上眼瞼脱脂術を行いました。
はっきりした平行型の二重が形成されています。
まつ毛の上にのる皮膚のたるみがなくなり、ぱっちりした目になりました。

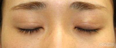
手術後2か月の目を閉じたところです。
きずあとは今後さらに目立たなくなっていきます。

全切開+上眼瞼脱脂 術後2か月の経過写真です。
make upなしです。
平行型の二重を希望され
当院で全切開+上眼瞼脱脂術を行いました。
はっきりした平行型の二重が形成されています。
まつ毛の上にのる皮膚のたるみがなくなり、ぱっちりした目になりました。

手術後2か月の目を閉じたところです。
きずあとは今後さらに目立たなくなっていきます。
MEDICAL
CONTENTS
BLOG
MOVIE
GUIDE
RECRUIT





