M 目頭切開 手術後6か月の経過写真 | プリモ麻布十番クリニック 美容整形ブログ 2503

M 目頭切開 手術後6か月の経過写真

20161126術前目元
手術前の目元です。

しっかりと蒙古襞を解除し目と目の間を近づけたいとのご希望でした。

 

 

 

 

 

にほんブログ村 美容ブログ 美容外科へ
にほんブログ村


美容外科 ブログランキングへ

 

 

 

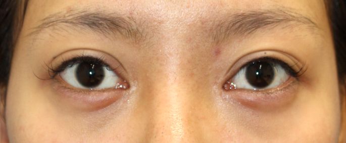
20161126po6M目元
目頭切開 手術後6か月の経過写真です。

make upなしです。

術後は目と目の間の距離が狭くなり、目が大きく見えるようになりました。

蒙古襞が解除され大人っぽい印象になりました。

二重は末広型からご希望の平行型に変化しました。

丁寧に細かく形成外科的縫合を行っておりますので

きずあとは目立たなく最小限になります。

 

 

 

 


Author 美容形成外科医 大場 理事長/院長 ブログ

More posts by 美容形成外科医 大場 理事長/院長 ブログ

© 2018 Primo All rights reserved.

メールで相談 カウンセリング予約 公式LINE オンライン診療 オンラインショップ 0120-062-069