BT 全切開+上眼瞼脱脂術 手術後10か月の経過写真 | プリモ麻布十番クリニック 美容整形ブログ 2503

BT 全切開+上眼瞼脱脂術 手術後10か月の経過写真

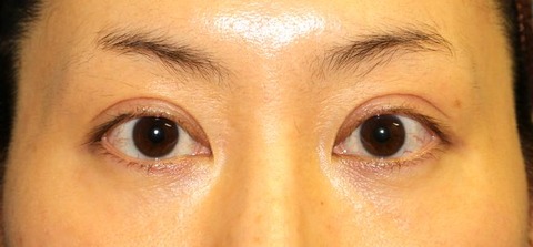
20161126術前
手術前の目元です。

幅広の二重を希望され

全切開+上眼瞼脱脂術を行いました。

 

 

 

 

にほんブログ村 美容ブログ 美容外科へ
にほんブログ村


美容外科 ブログランキングへ

 

 

 

 

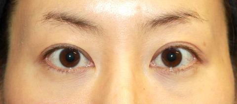
20161126po10M
全切開+上眼瞼脱脂術 手術後10か月の経過写真です。

make upなしです。

ご希望の幅広の二重が形成されています。

20161126po10M閉瞼

手術後10か月の目を閉じたところです。

切開のきずあとはきれいで目立たちません。

 

 

 

 

 


Author 美容形成外科医 大場 理事長/院長 ブログ

More posts by 美容形成外科医 大場 理事長/院長 ブログ

© 2018 Primo All rights reserved.

メールで相談 カウンセリング予約 公式LINE オンライン診療 オンラインショップ 0120-062-069