BY 二重埋没法6点固定+目頭切開 手術後2週間の経過写真 | プリモ麻布十番クリニック 美容整形ブログ 2503

BY 二重埋没法6点固定+目頭切開 手術後2週間の経過写真

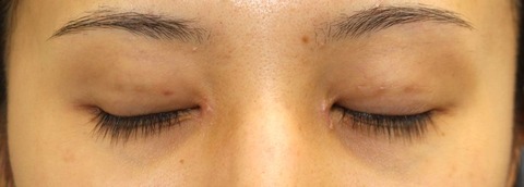
20170529術前目元

手術前の目元です。

 

20170612po2W目元

二重埋没法6点固定、目頭切開 手術後2週間の経過写真です。

make upなしです。

左右差を調節しながら埋没6点固定、目頭切開を行いました。

ご希望のはっきりとした平行型二重になりました。

 

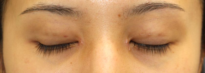
20170612po2W目元閉眼

手術後2週間の目を閉じたところです。

 

・費用(税別、麻酔代別)

 

二重埋没法6点固定 ¥160,000

目頭切開術     ¥250,000

 

・リスク・副作用(起こり得る可能性のあること)

 

腫れ、内出血

瞼の違和感

埋没糸の露出

ラインの消失

逆さまつ毛

 


Author 美容形成外科医 大場 理事長/院長 ブログ

More posts by 美容形成外科医 大場 理事長/院長 ブログ

© 2018 Primo All rights reserved.

メールで相談 カウンセリング予約 公式LINE オンライン診療 オンラインショップ 0120-062-069