N 二重修正術手術後2ヶ月の経過写真 | プリモ麻布十番クリニック 美容整形ブログ 2503


手術前の目元です。


二重修正術後2ヶ月の経過写真です。
make upなしです。

術前は他院で切開法による二重手術を受けてらっしゃいました。
二重の幅が広く、ラインの下の皮膚がまつ毛に被さっていました。
自然に狭くしたいという希望から、当院で二重修正術を行いました。
術後は二重の幅が丁度ご希望の幅になりました。


手術前の目を閉じたところです。


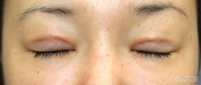
手術後2ヶ月の目を閉じたところです。

元々の二重の線は目立ちにくくなっています。
今回の傷の赤みも徐々に収まってまいります。


Author 美容形成外科医 大場 理事長/院長 ブログ

More posts by 美容形成外科医 大場 理事長/院長 ブログ

© 2018 Primo All rights reserved.

メールで相談 カウンセリング予約 公式LINE オンライン診療 オンラインショップ 0120-062-069