O 他院眼瞼下垂手術修正術(二重修正術)手術後1ヶ月の経過写真 | プリモ麻布十番クリニック 美容整形ブログ 2503

O 他院眼瞼下垂手術修正術(二重修正術)手術後1ヶ月の経過写真


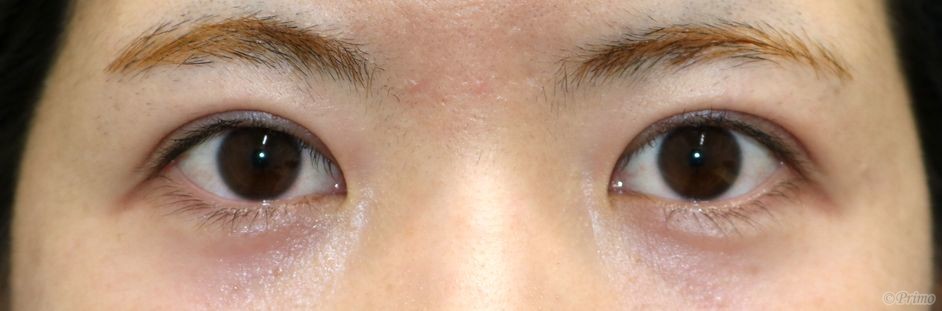
手術前の目元です。


他院眼瞼下垂手術修正術(二重修正術)手術後1ヶ月の経過写真です。
make upなしです。

術前は他院で眼瞼下垂手術を受けていらっしゃいました。
下向きのまつ毛を上向きに改善したい、末広型の自然な二重にしたいという希望から、当院で二重修正術を行いました。
術後の腫れも落ち着き、しっかりとした二重になりました。
まつ毛の向きも上向きに改善されています。


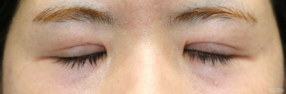
手術後1ヶ月の目を閉じたところです。


Author 美容形成外科医 大場 理事長/院長 ブログ

More posts by 美容形成外科医 大場 理事長/院長 ブログ

© 2018 Primo All rights reserved.

メールで相談 カウンセリング予約 公式LINE オンライン診療 オンラインショップ 0120-062-069