G 下眼瞼脱脂術 手術後1か月の経過写真 | プリモ麻布十番クリニック 美容整形ブログ 2503

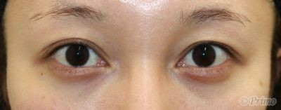
20170519術前目元
手術前の目元です。

 

 

 

 

 

20170529術前目元あおり
手術前のやや下を向いたところです。

 

 

 

 

 

 

 

にほんブログ村 美容ブログ 美容外科へ
にほんブログ村

 


美容外科 ブログランキングへ

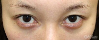
下眼瞼脱脂術 手術後1か月の経過写真です。

make upなしです。

程度はそれほど強くありませんが、目の下に眼窩脂肪によるふくらみ、くまがありました。

術後は目の下がすっきりし、より若々しい印象になりました。

 

手術後1か月のやや下を向いたところです。

 

この眼窩脂肪のふくらみは、加齢とともに徐々に目立ってきますので

アンチエイジングにもとても良い手術です。

結膜側を切開しますので、皮膚に傷は残りません。


Author 美容形成外科医 大場 理事長/院長 ブログ

More posts by 美容形成外科医 大場 理事長/院長 ブログ

© 2018 Primo All rights reserved.

メールで相談 カウンセリング予約 公式LINE オンライン診療 オンラインショップ 0120-062-069