N 二重修正術手術後3ヶ月の経過写真 | プリモ麻布十番クリニック 美容整形ブログ 2503


手術前の目元です。
術前は他院で全切開による二重手術を受けてらっしゃいました。
二重の幅が広く、切開線の下の皮膚がまつ毛を押し下げている状態でした。
幅を自然に狭くしたいということで、当院で二重修正術を行いました。


二重修正術後3ヶ月の経過写真です。
make upなしです。

術後は二重の幅が希望通りに改善され、まつ毛が起きやすくなりました。


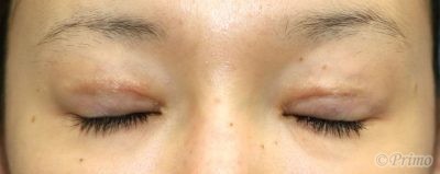
手術前の目を閉じたところです。


手術後3ヶ月の目を閉じたところです。


Author 美容形成外科医 大場 理事長/院長 ブログ

More posts by 美容形成外科医 大場 理事長/院長 ブログ

© 2018 Primo All rights reserved.

メールで相談 カウンセリング予約 公式LINE オンライン診療 オンラインショップ 0120-062-069