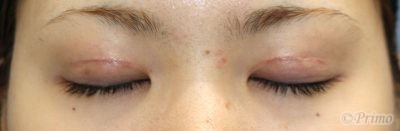
手術前の目元です。 術前は他院で埋没法を受けていらっしゃいました。 幅広の二重にしたいということで、当院で全切開+上眼瞼脱脂術を行いました。 全切開+上眼瞼脱脂術後2週間の経過写真です。 make upなしです。 術後は希望通りの広めの二重になりました。 術後2週間の目を閉じたところです。 全切開 にほんブログ村 美容外科 ブログランキングへ Tags:上眼瞼脱脂術二重全切開