BJ 眼瞼下垂+目頭切開手術後6か月の経過写真 | プリモ麻布十番クリニック 美容整形ブログ 2503

BJ 眼瞼下垂+目頭切開手術後6か月の経過写真

手術前の目元です。

他院で一度、全切開術を受けていらっしゃいました。

目をぱっちりと大きくしたい

ひかえめに目頭切開をしたいとのご希望に対して

眼瞼下垂、目頭切開を行いました。

 

眼瞼下垂、目頭切開 手術後6か月の経過写真です。

make upなしです。

眼瞼下垂手術の効果で、目がぱっちりして、眉毛の位置も下がりました。

ご希望の二重が形成されています。

目と目の距離も近くなり、よりバランスが良くなりました。

 

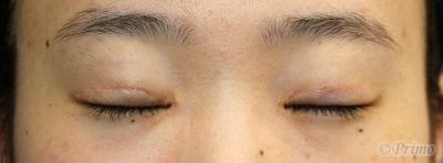
手術後6か月の目を閉じたところです。

 

・費用(税別、麻酔代別)

 

眼瞼下垂手術 ¥600,000

目頭切開術  ¥250,000

 

・リスク・副作用(起こり得る可能性のあること)

 

腫れ、内出血、瞼の違和感

睫毛側皮膚の知覚低下

埋没した吸収糸の露出

ラインの消失

瞼の形態の変化、顔の印象の変化

閉瞼不全、ドライアイ

ヘリング現象

 


Author 美容形成外科医 大場 理事長/院長 ブログ

More posts by 美容形成外科医 大場 理事長/院長 ブログ

© 2018 Primo All rights reserved.

メールで相談 カウンセリング予約 公式LINE オンライン診療 オンラインショップ 0120-062-069