N 左蒙古襞形成術手術後2ヶ月の経過写真 | プリモ麻布十番クリニック 美容整形ブログ 2503


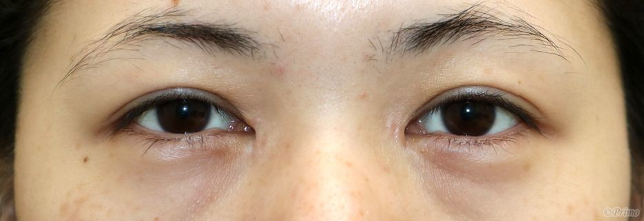
手術前の目元です。
術前は目頭の修正目的に、他院で蒙古襞形成術を右側3回、左側2回ほど受けていらっしゃいました。
左目のひだの向きを修正して蒙古襞を調整したいということで、
当院で左蒙古襞形成術を行いました。


左蒙古襞形成術手術後2ヶ月の経過写真です。
make upなしです。
蒙古襞形成術により目の内側が隠れるようになりました。
やさしい印象の目元になりました。


Author 美容形成外科医 大場 理事長/院長 ブログ

More posts by 美容形成外科医 大場 理事長/院長 ブログ

© 2018 Primo All rights reserved.

メールで相談 カウンセリング予約 公式LINE オンライン診療 オンラインショップ 0120-062-069