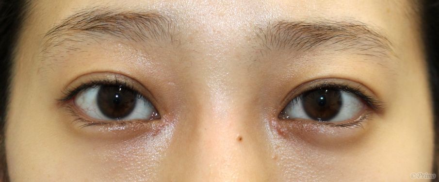
手術前の目元です。 術前は他院で涙袋ヒアルロン酸注入を受けていらっしゃいました。 目を横方向に大きくしたいということで、 当院で目頭切開+目尻切開+下眼瞼拡大術を行いました。 眼瞼下垂手術+下眼瞼拡大術+目尻切開手術後2ヶ月の経過写真です。 make upなしです。 術後は目頭切開、目尻切開によって目が横方向に大きくなりました。 下眼瞼拡大術によって下眼瞼が下方向に拡大し、目が大きくなりたれ目の印象になりました。 手術前の斜めからです。 手術後2ヶ月の斜めからです。 手術前の横からです。 手術後2ヶ月の横からです。 ・費用(税別、麻酔代別) 目頭切開術 ¥250,000 下眼瞼拡大術 ¥400,000 目尻切開術 ¥250,000 ・リスク・副作用(起こり得る可能性のあること) 腫れ、内出血、瞼の違和感、傷跡 埋没した吸収糸の露出 瞼の形態の変化 三白眼、逆さまつ毛 複視 目頭切開 下眼瞼拡大術(たれ目形成) 目尻切開 にほんブログ村 美容外科ブログランキングへ Tags:Z形成下眼瞼拡大術目尻切開目頭切開