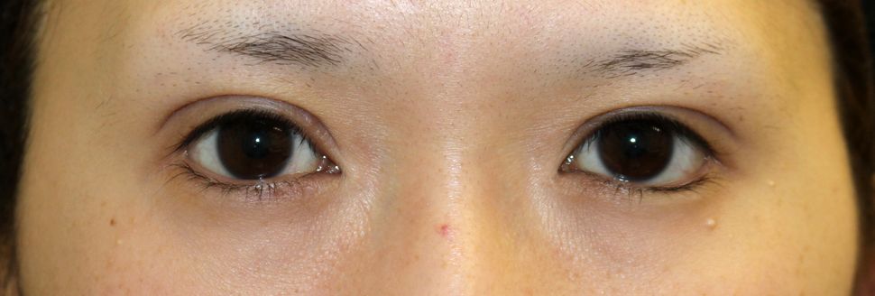
眼瞼下垂手術後2か月の経過写真です。 make upなしです。 手術前の目元です。 術前は全切開により二重を形成していましたが、 もっと目を大きくぱっちりとさせたいというご希望から、 眼瞼下垂手術を行いました。 術後の開瞼は改善しています。 手術後2か月の目を閉じたところです。 眼瞼下垂 にほんブログ村 美容外科 ブログランキングへ ・費用(税込、麻酔代別) 眼瞼下垂手術 ¥660,000 ・リスク・副作用(起こり得る可能性のあること) 腫れ、内出血 瞼の違和感 睫毛側皮膚の知覚低下 ラインの消失 瞼の形態の変化、顔の印象の変化 閉瞼不全、ドライアイ ヘリング現象 眼瞼下垂 にほんブログ村 美容外科 ブログランキングへ Tags:眼瞼下垂手術