
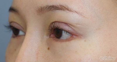
手術前の目元です。
他院で二重全切開、眼瞼下垂手術、目頭切開を受けていらっしゃいましたが
二重の幅が広いので狭くしてより自然な幅にしたい
たれ目にしたい、外側に見える白目を大きくしたいとのご希望に対して
二重修正術、下眼瞼拡大術(たれ目形成)、目尻切開、逆さまつ毛手術を行いました。

二重修正術、下眼瞼拡大(たれ目形成)、目尻切開、下眼瞼逆さまつ毛手術
術後2週間の経過写真です。
make upなしです。
まだ腫れがあるため効果ははっきりわかりませんが
これから徐々に幅の狭いラインでの二重に安定していく見込みです。
下眼瞼拡大術と目尻切開の効果で
目が外側方向、下方向へと大きくなり、ご希望のたれ目に変化しました。

手術後2週の目を閉じたところです。
























