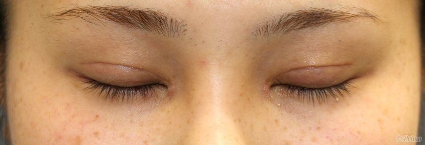
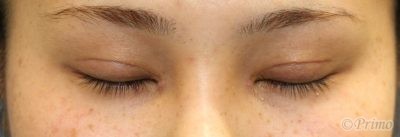
手術前の目元です。 術前は他院で半年ほど前に埋没法を受けていらっしゃいました。 平行型の二重にしたい、目の開きを改善したいということで、 当院で眼瞼下垂手術+目頭切開手術を行いました。 眼瞼下垂手術後1ヶ月の経過写真です。 make upなしです。 術後はきれいな平行型二重が形成されました。 術後の腫れも引いてきました。 術後1ヶ月の目を閉じたところです。 ・費用(税別、麻酔代別) 眼瞼下垂手術 ¥600,000 目頭切開術 ¥250,000 ・リスク・副作用(起こり得る可能性のあること) 腫れ、内出血、瞼の違和感 睫毛側皮膚の知覚低下 埋没した吸収糸の露出 ラインの消失 瞼の形態の変化、顔の印象の変化 閉瞼不全、ドライアイ ヘリング現象 眼瞼下垂 目頭切開 にほんブログ村 美容外科ブログランキングへ Tags:Z形成二重目頭切開眼瞼下垂手術