BE 二重埋没法6点固定手術後2週間の経過写真 | プリモ麻布十番クリニック 美容整形ブログ 2503

BE 二重埋没法6点固定手術後2週間の経過写真

手術前の目元です。

幅を広げて、自然な範囲ではっきりした二重にしたいとのご希望に対して

二重埋没6点固定を行いました。

 

手術後2週間の経過写真です。

make upなしです。

はっきりした二重が形成されています。

 

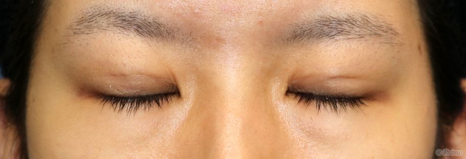
手術後2週間の目を閉じたところです。

 

・費用(税別、麻酔代別)

 

二重埋没法6点固定 ¥160,000

 

・リスク・副作用(起こり得る可能性のあること)

 

腫れ、内出血

瞼の違和感

埋没糸の露出

ラインの消失

逆さまつ毛

 


Author 美容形成外科医 大場 理事長/院長 ブログ

More posts by 美容形成外科医 大場 理事長/院長 ブログ

© 2018 Primo All rights reserved.

メールで相談 カウンセリング予約 公式LINE オンライン診療 オンラインショップ 0120-062-069