BS 全切開+上眼瞼脱脂術手術後3か月の経過写真 | プリモ麻布十番クリニック 美容整形ブログ 2503

BS 全切開+上眼瞼脱脂術手術後3か月の経過写真


手術前の目元です。

平行型の二重を希望され

当院で全切開+上眼瞼脱脂術を行いました。

 

 

 

 

 

 

 

にほんブログ村 美容ブログ 美容外科へ
にほんブログ村


美容外科 ブログランキングへ

全切開+上眼瞼脱脂 術後3か月の経過写真です。

make upなしです。

はっきりした平行型の二重が形成されています。

まつ毛の上にのる皮膚のたるみがなくなり、ぱっちりした目になりました。

 

 

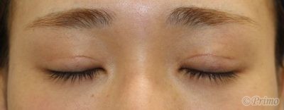
手術後3か月の目を閉じたところです。


Author 美容形成外科医 大場 理事長/院長 ブログ

More posts by 美容形成外科医 大場 理事長/院長 ブログ

© 2018 Primo All rights reserved.

メールで相談 カウンセリング予約 公式LINE オンライン診療 オンラインショップ 0120-062-069