BH 全切開+上眼瞼脱脂術手術後1ヶ月の経過写真 | プリモ麻布十番クリニック 美容整形ブログ 2503

BH 全切開+上眼瞼脱脂術手術後1ヶ月の経過写真


手術前の目元です。
幅広の末広型の二重を希望され、当院で全切開+上眼瞼脱脂術を行いました。


全切開+上眼瞼脱脂術後1ヶ月の経過写真です。
make upなしです。
術後のむくみが落ち着いてきました。
自然な末広型二重が形成されています。


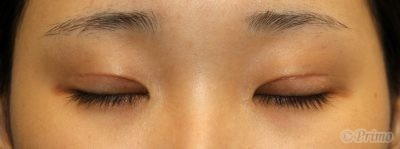
術後1ヶ月の目を閉じたところです。
傷が徐々に目立たなくなってきました。


Author 美容形成外科医 大場 理事長/院長 ブログ

More posts by 美容形成外科医 大場 理事長/院長 ブログ

© 2018 Primo All rights reserved.

メールで相談 カウンセリング予約 公式LINE オンライン診療 オンラインショップ 0120-062-069