O 蒙古襞形成術(目頭切開修正)術後3ヶ月の経過写真 | プリモ麻布十番クリニック 美容整形ブログ 2503

O 蒙古襞形成術(目頭切開修正)術後3ヶ月の経過写真


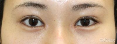
手術前の目元です。
術前は他院で二重切開、目頭切開、そのあと目頭切開修正を受けていらっしゃいました。
露出しすぎた粘膜を隠したいというご希望から、
当院で蒙古襞形成術(目頭切開修正)を行いました。


左蒙古襞形成術手術後3ヶ月の経過写真です。
make upなしです。
術後は蒙古襞形成術により目頭の粘膜が隠れ、自然な目元になりました。


Author 美容形成外科医 大場 理事長/院長 ブログ

More posts by 美容形成外科医 大場 理事長/院長 ブログ

© 2018 Primo All rights reserved.

メールで相談 カウンセリング予約 公式LINE オンライン診療 オンラインショップ 0120-062-069