R 目頭切開手術後1週間の経過写真 | プリモ麻布十番クリニック 美容整形ブログ 2503

R 目頭切開手術後1週間の経過写真


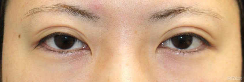
手術前の目元です。
術前は8年前に他院で埋没法を受けていらっしゃいました。
やや張っている蒙古襞を解消したいということで、
当院で目頭切開手術を行いました。


目頭切開手術後1週間の経過写真です。
make upなしです。
Z形成術による目頭切開で、蒙古襞がマイルドに小さくなりました。
まだむくみが残っていますが、これから徐々に落ち着いていきます。


Author 美容形成外科医 大場 理事長/院長 ブログ

More posts by 美容形成外科医 大場 理事長/院長 ブログ

© 2018 Primo All rights reserved.

メールで相談 カウンセリング予約 公式LINE オンライン診療 オンラインショップ 0120-062-069