
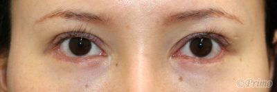
手術前の目元です。
他院で二重全切開、眼瞼下垂手術、目頭切開を受けていらっしゃいましたが
二重の幅が広いので狭くしてより自然な幅にしたい
たれ目にしたい、外側に見える白目を大きくしたいとのご希望に対して
二重修正術、下眼瞼拡大術(たれ目形成)、目尻切開、逆さまつ毛手術を行いました。

二重修正術、下眼瞼拡大(たれ目形成)、目尻切開、下眼瞼逆さまつ毛手術
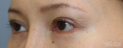
術後2か月の経過写真です。
make upなしです。
浮腫みがとれて予定の二重幅に近づいてきました。
下眼瞼拡大術と目尻切開の効果で
目が外側方向、下方向へと大きくなり、ご希望のたれ目に変化しました。

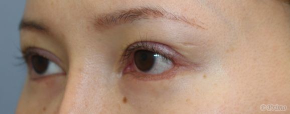
手術前の横からです。

手術後2か月の横からです。
逆さまつ毛手術により、下眼瞼拡大術により生じた逆さまつ毛も矯正されています。

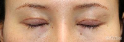
手術後2か月の目を閉じたところです。






















