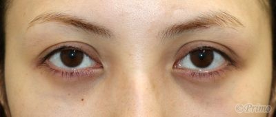
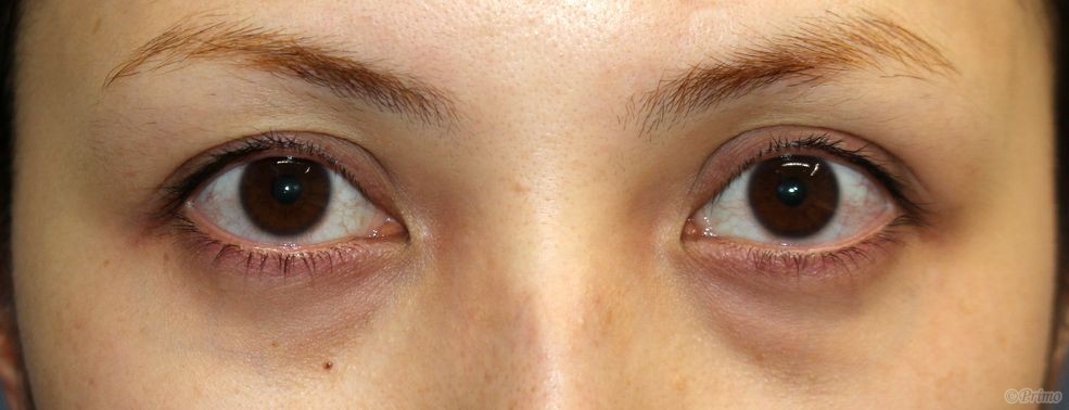
手術前の目元です。 目元のクマが気になるとのことで、当院で下眼瞼脱脂術を行いました。 下眼瞼脱脂術後2週間の経過写真です。 make upなしです。 術後は下まぶたのふくらみがすっきりして目立たなくなりました。 下眼瞼脱脂(結膜側) にほんブログ村 美容外科 ブログランキングへ Tags:下眼瞼脱脂術