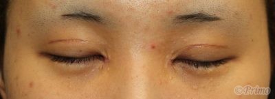
手術前の目元です。 はっきりした平行型の二重を希望され、全切開、上眼瞼脱脂、目頭切開を行いました。 全切開+上眼瞼脱脂+目頭切開 手術後2週間の経過写真です。 make upなしです。 まだ浮腫みがありますが、ご希望の平行型二重になりました。 目頭切開によって大人っぽい雰囲気に変化しました。 手術後2週間の目を閉じたところです。 ・費用(税別、麻酔代別) 全切開+上眼瞼脱脂術 ¥350,000 目頭切開術 ¥250,000 ・リスク・副作用(起こり得る可能性のあること) 腫れ、内出血 瞼の違和感 傷跡 睫毛側皮膚の知覚低下 埋没した吸収糸の露出 ラインの消失 瞼の形態の変化 全切開 目頭切開 にほんブログ村 美容外科 ブログランキングへ Tags:上眼瞼脱脂術全切開目頭切開