
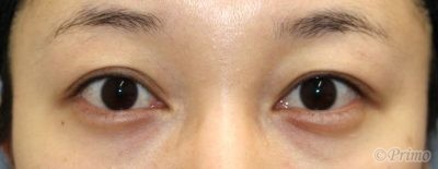
下眼瞼脱脂術 手術後6か月の経過写真です。
make upなしです。術後は目の下がすっきりし、より若々しい印象になりました。

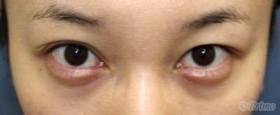
手術後6か月のやや下を向いたところです。
眼窩脂肪による目の下のふくらみは、加齢とともに徐々に目立ってきますので
アンチエイジングにもとても良い手術です。
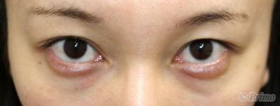
結膜側を切開しますので、皮膚に傷は残りません。

下眼瞼脱脂術 手術後6か月の経過写真です。
make upなしです。術後は目の下がすっきりし、より若々しい印象になりました。

手術後6か月のやや下を向いたところです。
眼窩脂肪による目の下のふくらみは、加齢とともに徐々に目立ってきますので
アンチエイジングにもとても良い手術です。
結膜側を切開しますので、皮膚に傷は残りません。
MEDICAL
CONTENTS
BLOG
MOVIE
GUIDE
RECRUIT





