BQ 二重修正術+下眼瞼拡大術(たれ目形成)+目尻切開+下眼瞼逆さまつ毛手術術後3か月の経過写真 | プリモ麻布十番クリニック 美容整形ブログ 2503

BQ 二重修正術+下眼瞼拡大術(たれ目形成)+目尻切開+下眼瞼逆さまつ毛手術術後3か月の経過写真

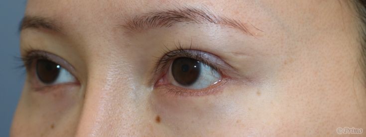
手術前の目元です。

他院で二重全切開、眼瞼下垂手術、目頭切開を受けていらっしゃいましたが

二重の幅が広いので狭くしてより自然な幅にしたい

たれ目にしたい、外側に見える白目を大きくしたいとのご希望に対して

二重修正術、下眼瞼拡大術(たれ目形成)、目尻切開、逆さまつ毛手術を行いました。

 

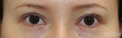
二重修正術、下眼瞼拡大(たれ目形成)、目尻切開、下眼瞼逆さまつ毛手術

術後3か月の経過写真です。

make upなしです。

狭くてさらに自然な二重幅になりました。

下眼瞼拡大術と目尻切開の効果で

目が外側方向、下方向へと大きくなり、ご希望のたれ目に変化しました。

 

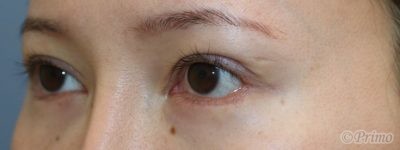
手術前の斜めからです。

 

手術後3か月の斜めからです。

外側にみえる白目が大きくなりました。

 

手術前の横からです。

 

手術後3か月の横からです。

逆さまつ毛手術により、下眼瞼拡大術により生じた逆さまつ毛も矯正されています。

 

手術後3か月の目を閉じたところです。

 

・費用(税別、麻酔代別)

 

二重修正術              ¥400,000

(組織の移動や移植を伴う複雑なもの) ¥500,000

下眼瞼拡大術             ¥400,000

目尻切開術              ¥250,000

逆さまつ毛手術            ¥200,000

 

・リスク・副作用(起こり得る可能性のあること)

 

腫れ、内出血、瞼の違和感、傷跡

埋没した吸収糸の露出

瞼の形態の変化

三白眼逆さまつ毛、複視

睫毛側皮膚の知覚異常

外反

ラインの消失

 


Author 美容形成外科医 大場 理事長/院長 ブログ

More posts by 美容形成外科医 大場 理事長/院長 ブログ

© 2018 Primo All rights reserved.

メールで相談 カウンセリング予約 公式LINE オンライン診療 オンラインショップ 0120-062-069