BA 眼瞼下垂手術後1ヶ月の経過写真 | プリモ麻布十番クリニック 美容整形ブログ 2503

BA 眼瞼下垂手術後1ヶ月の経過写真


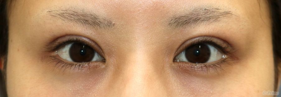
手術前の目元です。
術前は4年ほど前に他院で埋没法と眼瞼下垂手術を、
2年ほど前に当院で目尻切開術、下眼瞼拡大術を受けていらっしゃいました。
二重の幅をもっと広くしたい、目の開きを良くしたいというご希望により、
当院で眼瞼下垂手術を行いました。


眼瞼下垂手術後1ヶ月の経過写真です。
make upなしです。
術後は広めの平行型二重が形成されました。
まぶたの開きが良くなり、目が大きくみえるようになりました。


術後1ヶ月の目を閉じたところです。


Author 美容形成外科医 大場 理事長/院長 ブログ

More posts by 美容形成外科医 大場 理事長/院長 ブログ

© 2018 Primo All rights reserved.

メールで相談 カウンセリング予約 公式LINE オンライン診療 オンラインショップ 0120-062-069