BK 全切開+上眼瞼脱脂術+ROOF切除術手術後2ヶ月の経過写真 | プリモ麻布十番クリニック 美容整形ブログ 2503

BK 全切開+上眼瞼脱脂術+ROOF切除術手術後2ヶ月の経過写真


手術前の目元です。
術前は他院で埋没法を3回受けていらっしゃいました。
埋没糸がとれてしまい、自然な二重にしたいというご希望から、
当院で全切開+上眼瞼脱脂術+ROOF切除術を行いました。


全切開+上眼瞼脱脂術+ROOF切除術手術後2ヶ月の経過写真です。
make upなしです。
術後はきれいな二重が形成されました。
まだむくみが残っていますが、経過とともに落ち着いていきます。


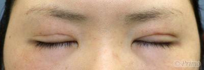
術後2ヶ月の目を閉じたところです。


Author 美容形成外科医 大場 理事長/院長 ブログ

More posts by 美容形成外科医 大場 理事長/院長 ブログ

© 2018 Primo All rights reserved.

メールで相談 カウンセリング予約 公式LINE オンライン診療 オンラインショップ 0120-062-069