
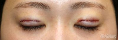
全切開+上眼瞼脱脂手術後1週間の経過写真です。
make upなしです。
まだ浮腫みがありますが、はっきりした二重が形成されています。

手術後1週間の目を閉じたところです。

手術直後の写真です。

手術直後の目を閉じたところです。

全切開+上眼瞼脱脂手術後1週間の経過写真です。
make upなしです。
まだ浮腫みがありますが、はっきりした二重が形成されています。

手術後1週間の目を閉じたところです。

手術直後の写真です。

手術直後の目を閉じたところです。
MEDICAL
CONTENTS
BLOG
MOVIE
GUIDE
RECRUIT





