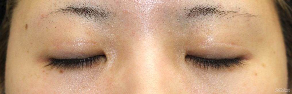
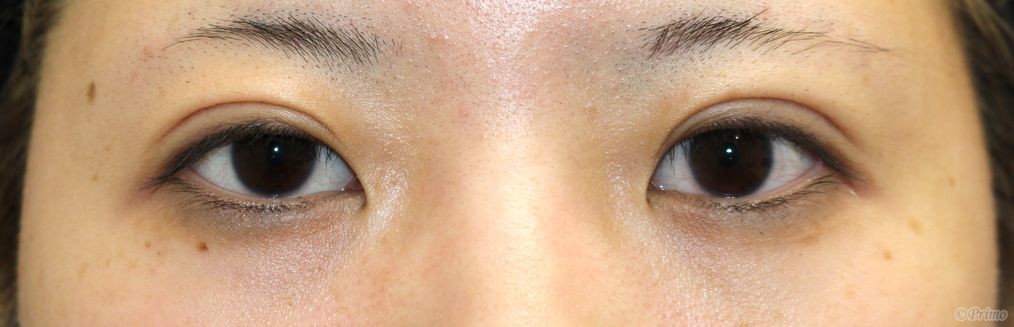
手術前の目元です。 1~2年前に他院で埋没法2点固定手術を受けていらっしゃいました。 平行型の二重をご希望とのことで、当院で全切開+上眼瞼脱脂術を行いました。 全切開+上眼瞼脱脂術後6ヶ月の経過写真です。 make upなしです。 術後の腫れはすっかり引いて、 自然な平行型二重が形成されました。 術後6ヶ月の目を閉じたところです。 傷跡はきれいで目立たなくなりました。 ・リスク・副作用(起こり得る可能性のあること) 腫れ、内出血 瞼の違和感 二重の傷跡 睫毛側皮膚の知覚低下 ラインの消失 瞼の形態の変化 ・費用(税別、麻酔代別) 全切開+上眼瞼脱脂術 ¥350,000 全切開 にほんブログ村 美容外科 ブログランキングへ Tags:上眼瞼脱脂術二重全切開