Q 目頭切開手術後6ヶ月の経過写真 | プリモ麻布十番クリニック 美容整形ブログ 2503

Q 目頭切開手術後6ヶ月の経過写真


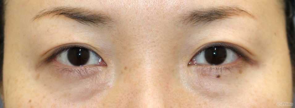
手術前の目元です。
術前は当院で7年前に埋没法を受けていらっしゃいました。
目頭の皮膚の被さりが気になり改善したいということで、
目頭切開手術を行いました。


目頭切開手術後6ヶ月の経過写真です。
make upなしです。
Z形成術による目頭切開により、
蒙古襞が少し小さくなり、目と目の距離が狭くなりました。


Author 美容形成外科医 大場 理事長/院長 ブログ

More posts by 美容形成外科医 大場 理事長/院長 ブログ

© 2018 Primo All rights reserved.

メールで相談 カウンセリング予約 公式LINE オンライン診療 オンラインショップ 0120-062-069