CB 全切開+上眼瞼脱脂術+ROOF切除術+目頭切開+目尻切開+下眼瞼拡大術+下眼瞼逆さまつ毛手術後1週間の経過写真 | プリモ麻布十番クリニック 美容整形ブログ 2503

CB 全切開+上眼瞼脱脂術+ROOF切除術+目頭切開+目尻切開+下眼瞼拡大術+下眼瞼逆さまつ毛手術後1週間の経過写真

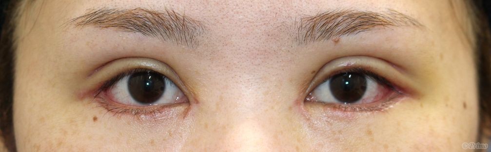
手術前の目元です。

術前は他院で埋没法を受けていらっしゃいました。

はっきりとした二重にしたい、

目頭、目尻ともに幅を広げたいというご希望により、

当院で全切開+上眼瞼脱脂術+ROOF切除術+目頭切開+目尻切開+下眼瞼拡大術+下眼瞼逆さまつ毛手術を行いました。

 

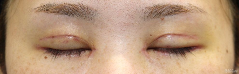
全切開+上眼瞼脱脂術+ROOF切除術+目頭切開+目尻切開+下眼瞼拡大術+下眼瞼逆さまつ毛手術後1週間の経過写真です。

make upなしです。

術後ははっきりとした二重が形成されました。

ルーフ切除術によってまぶたの腫れぼったさも解消されています。

 

手術前の斜めからです。

 

術後1週間の斜めからです。

 

手術前の横からです。

 

術後1週間の横からです。

 

術後1週間の目を閉じたところです。

 

・費用(税別、麻酔代別)

 

全切開+上眼瞼脱脂術    ¥350,000

ROOF切除術(セット割引) ¥100,000

目頭切開術         ¥250,000

下眼瞼拡大術        ¥300,000

目尻切開術         ¥250,000

逆さまつ毛手術(セット割引)¥100,000

 

・リスク・副作用(起こり得る可能性のあること)

 

腫れ、内出血、瞼の違和感、傷跡

睫毛側皮膚の知覚低下

埋没した吸収糸の露出

ラインの消失

瞼の形態の変化

三白眼、複視

外反

 


Author 美容形成外科医 大場 理事長/院長 ブログ

More posts by 美容形成外科医 大場 理事長/院長 ブログ

© 2018 Primo All rights reserved.

メールで相談 カウンセリング予約 公式LINE オンライン診療 オンラインショップ 0120-062-069