
手術前の目元です。
さらに目をぱっちりさせたい、二重をもう少し広くしたいとのご希望に対して
当院にて眼瞼下垂手術を行いました。

眼瞼下垂手術 手術後2週間の経過写真です。
make upなしです。
目がぱっちりして、はっきりした二重が形成されています。
目力がアップしました。
また、目頭切開の効果で目と目の間の距離が近くなり、よりバランスが良くなりました。

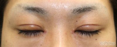
手術後2週間の目を閉じたところです。

手術前の目元です。
さらに目をぱっちりさせたい、二重をもう少し広くしたいとのご希望に対して
当院にて眼瞼下垂手術を行いました。

眼瞼下垂手術 手術後2週間の経過写真です。
make upなしです。
目がぱっちりして、はっきりした二重が形成されています。
目力がアップしました。
また、目頭切開の効果で目と目の間の距離が近くなり、よりバランスが良くなりました。

手術後2週間の目を閉じたところです。
MEDICAL
CONTENTS
BLOG
MOVIE
GUIDE
RECRUIT





