BP 全切開+上眼瞼脱脂術後1週間の経過写真 | プリモ麻布十番クリニック 美容整形ブログ 2503

BP 全切開+上眼瞼脱脂術後1週間の経過写真


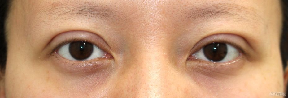
手術前の目元です。
まぶたのたるみを解消して自然な末広の二重にしたいというご希望により、
当院で全切開+上眼瞼脱脂術を行いました。


全切開+上眼瞼脱脂術後1週間の経過写真です。
make upなしです。
術後の腫れやむくみのため幅が広く感じますが、
だんだんと狭くなっていきます。


術後1週間の目を閉じたところです。


Author 美容形成外科医 大場 理事長/院長 ブログ

More posts by 美容形成外科医 大場 理事長/院長 ブログ

© 2018 Primo All rights reserved.

メールで相談 カウンセリング予約 公式LINE オンライン診療 オンラインショップ 0120-062-069