P 蒙古襞形成術(目頭切開修正)術後2週間の経過写真 | プリモ麻布十番クリニック 美容整形ブログ 2503

P 蒙古襞形成術(目頭切開修正)術後2週間の経過写真


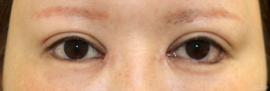
手術前の目元です。
術前は20年ほど前に他院で二重の手術を受けていらっしゃいました。
目と目の距離が近すぎることと、目頭を丸くしたいというご希望により、
当院で蒙古襞形成術(目頭切開修正)を行いました。


蒙古襞形成術手術後2週間の経過写真です。
make upなしです。
蒙古襞新しく作り、目の内側が隠れたことで目と目の距離が広くなりました。
目頭が丸くなり自然な形態になりました。
まだ術後の腫れが残っていて硬さがありますが、徐々にやわらかくなります。


Author 美容形成外科医 大場 理事長/院長 ブログ

More posts by 美容形成外科医 大場 理事長/院長 ブログ

© 2018 Primo All rights reserved.

メールで相談 カウンセリング予約 公式LINE オンライン診療 オンラインショップ 0120-062-069