I 下眼瞼拡大術後1ヶ月の経過写真 | プリモ麻布十番クリニック 美容整形ブログ 2503

po1M目元

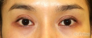
下眼瞼拡大術後1ヶ月の経過写真です。

make upなしです。

手術前の目元です。

術前は右目がややつり目傾向でしたが、

術後は右を多く下げたため、左右バランスが改善いたしました。

 

・費用(税込、麻酔代別)

 

下眼瞼拡大術  ¥440,000

 

・リスク・副作用(起こり得る可能性のあること)

 

腫れ、内出血、瞼の違和感、傷跡

埋没した吸収糸の露出

瞼の形態の変化

三白眼逆さまつ毛

外反、複視

 


Author 美容形成外科医 大場 理事長/院長 ブログ

More posts by 美容形成外科医 大場 理事長/院長 ブログ

© 2018 Primo All rights reserved.

メールで相談 カウンセリング予約 公式LINE オンライン診療 オンラインショップ 0120-062-069