
手術前の目元です。
他院にて部分切開による二重形成を受けていらっしゃいました。
さらに目をぱっちりさせたい、二重を広くしたいとのご希望に対して
当院にて眼瞼下垂手術を行いました。

眼瞼下垂手術 手術後3か月の経過写真です。
make upなしです。
目がぱっちりして、はっきりした二重が形成されています。
目力がアップしました。

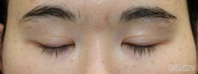
手術後3か月の目を閉じたところです。

手術前の目元です。
他院にて部分切開による二重形成を受けていらっしゃいました。
さらに目をぱっちりさせたい、二重を広くしたいとのご希望に対して
当院にて眼瞼下垂手術を行いました。

眼瞼下垂手術 手術後3か月の経過写真です。
make upなしです。
目がぱっちりして、はっきりした二重が形成されています。
目力がアップしました。

手術後3か月の目を閉じたところです。
MEDICAL
CONTENTS
BLOG
MOVIE
GUIDE
RECRUIT





