
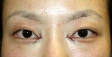
Z形成術による目頭切開術術後4日目、
抜糸直後の状態です。

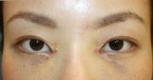
手術前です。

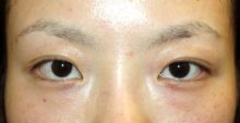
手術直後はこんな感じでした。
傷の赤みは少しありますが、
翌日からお化粧が可能になります。
腫れや内出血はそれほど気になりませんね。
目が横方向にとても大きくなりました。
目と目の間隔も狭くなり良い感じです。

Z形成術による目頭切開術術後4日目、
抜糸直後の状態です。

手術前です。

手術直後はこんな感じでした。
傷の赤みは少しありますが、
翌日からお化粧が可能になります。
腫れや内出血はそれほど気になりませんね。
目が横方向にとても大きくなりました。
目と目の間隔も狭くなり良い感じです。
MEDICAL
CONTENTS
BLOG
MOVIE
GUIDE
RECRUIT





