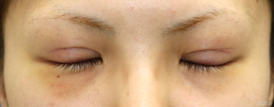
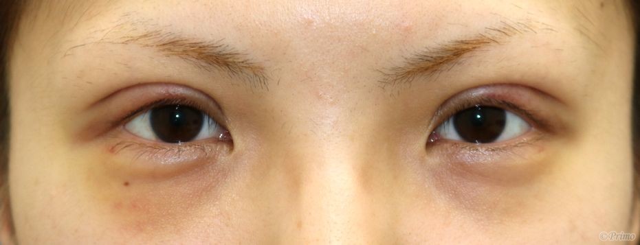
手術前の目元です。 まぶたが重い、目の開きを改善させたいというご希望により、 当院で眼瞼下垂手術を行いました。 眼瞼下垂手術後1週間の経過写真です。 make upなしです。 術後は目の開きが良くなりました。 まだ腫れやむくみが残っていますが、徐々に落ち着いていきます。 術後1週間の目を閉じたところです。 眼瞼下垂 にほんブログ村 美容外科 ブログランキングへ Tags:眼瞼下垂手術