BB 眼瞼下垂手術後2週間の経過写真 | プリモ麻布十番クリニック 美容整形ブログ 2503

BB 眼瞼下垂手術後2週間の経過写真


手術前の目元です。
まぶたが重く、目の開きを改善させたいというご要望から、
当院で眼瞼下垂手術を行いました。


眼瞼下垂手術後2週間の経過写真です。
make upなしです。
術後は眼瞼下垂術によって開瞼が良くなるとともに、
バランスの良い二重が形成されました。


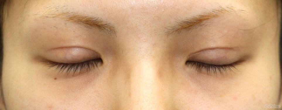
術後2週間の目を閉じたところです。


Author 美容形成外科医 大場 理事長/院長 ブログ

More posts by 美容形成外科医 大場 理事長/院長 ブログ

© 2018 Primo All rights reserved.

メールで相談 カウンセリング予約 公式LINE オンライン診療 オンラインショップ 0120-062-069