BC 眼瞼下垂手術後1ヶ月の経過写真 | プリモ麻布十番クリニック 美容整形ブログ 2503


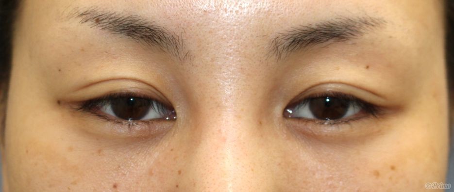
手術前の目元です。
術前は他院で埋没法を受けていらっしゃいました。
眠たそうな印象の目を改善する目的で、当院で眼瞼下垂手術を行いました。


眼瞼下垂手術後1ヶ月の経過写真です。
make upなしです。
術後は目の開きが改善され、大きくぱっちりした印象の目になりました。


術後1ヶ月の目を閉じたところです。


Author 美容形成外科医 大場 理事長/院長 ブログ

More posts by 美容形成外科医 大場 理事長/院長 ブログ

© 2018 Primo All rights reserved.

メールで相談 カウンセリング予約 公式LINE オンライン診療 オンラインショップ 0120-062-069