I 下眼瞼脱脂術後3ヶ月の経過写真 | プリモ麻布十番クリニック 美容整形ブログ 2503

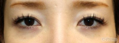
手術前の目元です。

目の下のクマを改善する目的で、当院で下眼瞼脱脂術を行いました。

 

下眼瞼脱脂術後3ヶ月の経過写真です。

make upなしです。

術後は目の下のふくらみが目立たなくなり、すっきりとした印象です。

 

・費用(麻酔代別、税別)

 

下眼瞼脱脂術 ¥300,000

 

・リスク・副作用(起こり得る可能性のあること)

 

腫れ、内出血

瞼の違和感

結膜の傷跡

瞼の形態の変化

複視


Author 美容形成外科医 大場 理事長/院長 ブログ

More posts by 美容形成外科医 大場 理事長/院長 ブログ

© 2018 Primo All rights reserved.

メールで相談 カウンセリング予約 公式LINE オンライン診療 オンラインショップ 0120-062-069