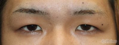
手術前の目元です。 目を大きくしたい、腫れぼったさを改善したいとのご希望に対して、眼瞼下垂手術、ROOF切除、目頭切開を行いました。 眼瞼下垂症手術+ROOF切除+目頭切開 手術後2週間の経過写真です。 make upなしです。 まだ浮腫みがありますが、今後徐々に改善していきます。 手術後2週間の目を閉じたところです。 ・費用(税別、麻酔代別) 眼瞼下垂手術 ¥600,000 目頭切開術 ¥250,000 ROOF切除術 ¥300,000 ・リスク・副作用(起こり得る可能性のあること) 腫れ、内出血、瞼の違和感 睫毛側皮膚の知覚低下 埋没した吸収糸の露出 ラインの消失 瞼の形態の変化、顔の印象の変化 閉瞼不全、ドライアイ ヘリング現象 眼瞼下垂 目頭切開 ROOF切除術 にほんブログ村 美容外科 ブログランキングへ Tags:ROOF切除術目頭切開眼瞼下垂手術