BZ 全切開+上眼瞼脱脂術手術後2週間の経過写真 | プリモ麻布十番クリニック 美容整形ブログ 2503

BZ 全切開+上眼瞼脱脂術手術後2週間の経過写真


手術前の目元です。
術前は他院で2年程まえに埋没法と眼瞼下垂手術を受けていらっしゃいました。
平行型の幅広の二重を希望され、当院で全切開+上眼瞼脱脂術を行いました。


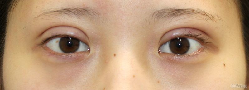
全切開+上眼瞼脱脂術後2週間の経過写真です。
make upなしです。
まだむくみが残っていますが、
これから落ち着いて幅が狭くなっていきます。

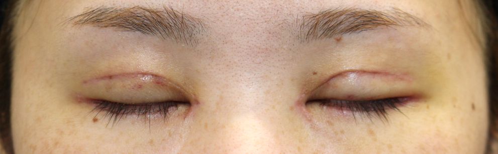
術後2週間の目を閉じたところです。

 

・リスク・副作用(起こり得る可能性のあること)

腫れ、内出血
瞼の違和感
二重の傷跡
睫毛側皮膚の知覚低下
ラインの消失
瞼の形態の変化

・費用(税別、麻酔代別)

全切開+上眼瞼脱脂術 ¥350,000


Author 美容形成外科医 大場 理事長/院長 ブログ

More posts by 美容形成外科医 大場 理事長/院長 ブログ

© 2018 Primo All rights reserved.

メールで相談 カウンセリング予約 公式LINE オンライン診療 オンラインショップ 0120-062-069