BD 結膜側からの眼瞼下垂手術後1週間の経過写真 | プリモ麻布十番クリニック 美容整形ブログ 2503

BD 結膜側からの眼瞼下垂手術後1週間の経過写真

手術前の目元です。

術前は1年半ほど前に当院で下眼瞼脱脂術、涙袋ヒアルロン酸注入を受けていらっしゃいました。

まぶたの開きを良くしたいというご希望から、当院で眼瞼下垂手術を行いました。

 

眼瞼下垂手術後1週間の経過写真です。

make upなしです。

まだ術後の腫れが残っている状態です。

徐々に落ち着いていきます。

 

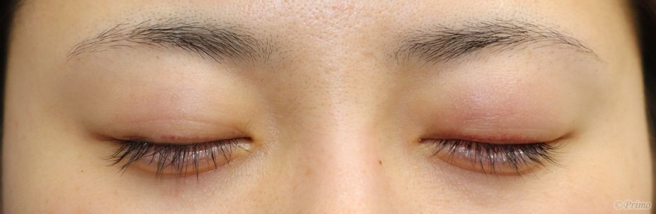
術後1週間の目を閉じたところです。

 

・リスク・副作用(起こり得る可能性のあること)

 

腫れ、内出血

瞼の違和感

睫毛側皮膚の知覚低下

ラインの消失

瞼の形態の変化、顔の印象の変化

閉瞼不全

ドライアイ

ヘリング現象

 

・費用(税別、麻酔代別)

 

眼瞼下垂手術 ¥600,000


Author 美容形成外科医 大場 理事長/院長 ブログ

More posts by 美容形成外科医 大場 理事長/院長 ブログ

© 2018 Primo All rights reserved.

メールで相談 カウンセリング予約 公式LINE オンライン診療 オンラインショップ 0120-062-069