
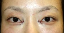
目頭切開をZ法で行った手術後1ヶ月の経過写真です。

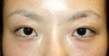
手術の前の状態です。
目と目の距離が狭くなり、
バランスが良くなったのがわかります。
傷跡は1ヶ月もすると相当なじんでわかりにくくなります。

手術直後はこんな感じでした。
縫合してある糸がZ型になっているのがわかります。

目頭切開をZ法で行った手術後1ヶ月の経過写真です。

手術の前の状態です。
目と目の距離が狭くなり、
バランスが良くなったのがわかります。
傷跡は1ヶ月もすると相当なじんでわかりにくくなります。

手術直後はこんな感じでした。
縫合してある糸がZ型になっているのがわかります。
MEDICAL
CONTENTS
BLOG
MOVIE
GUIDE
RECRUIT





