
下眼瞼拡大術(たれ目形成術)術後6カ月の経過です。

手術の前の状態から比べると
たれ目にしっかりと変化していることが分かります。

手術後1カ月はこんな感じでした。
下がり方の感じは同じで、
後戻りはないようです。

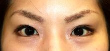
下眼瞼拡大術(たれ目形成術)術後6カ月の経過です。

手術の前の状態から比べると
たれ目にしっかりと変化していることが分かります。

手術後1カ月はこんな感じでした。
下がり方の感じは同じで、
後戻りはないようです。
MEDICAL
CONTENTS
BLOG
MOVIE
GUIDE
RECRUIT





