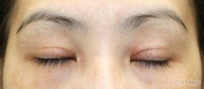
手術前の目元です。 術前は当院で4年前に埋没法6点固定手術を受けていらっしゃいました。 目の左右差を気にされ、目の開きを改善するために眼瞼下垂手術を行いました。 眼瞼下垂手術後2ヶ月の経過写真です。 make upなしです。 術後は開瞼が良くなりました。 腫れや浮腫みも落ち着いてきたようです。 術後2ヶ月の目を閉じたところです。 ・費用(税別、麻酔代別) 眼瞼下垂手術 ¥600,000 ・リスク・副作用(起こり得る可能性のあること) 腫れ、内出血 瞼の違和感 睫毛側皮膚の知覚低下 ラインの消失 瞼の形態の変化、顔の印象の変化 閉瞼不全、ドライアイ ヘリング現象 眼瞼下垂 にほんブログ村 美容外科 ブログランキングへ Tags:眼瞼下垂手術