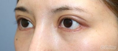
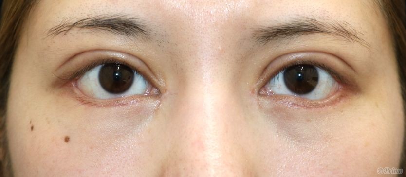
手術前の目元です。
術前は他院でヒアルロン酸注入を行っていました。
二重の幅を広くしたい、たれ目にしたい、
まぶたの脂肪を取りたいというご要望と、瞼の開きを改善するために、
当院で眼瞼下垂+ROOF切除術+目頭切開+目尻切開+下眼瞼拡大術+下眼瞼脱脂術+下眼瞼逆さまつ毛手術を行いました。
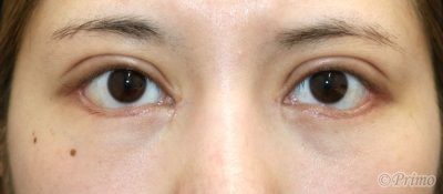
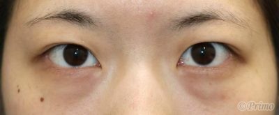
手術前の目元です。
術前は他院でヒアルロン酸注入を行っていました。
二重の幅を広くしたい、たれ目にしたい、
まぶたの脂肪を取りたいというご要望と、瞼の開きを改善するために、
当院で眼瞼下垂+ROOF切除術+目頭切開+目尻切開+下眼瞼拡大術+下眼瞼脱脂術+下眼瞼逆さまつ毛手術を行いました。
MEDICAL
CONTENTS
BLOG
MOVIE
GUIDE
RECRUIT





